Telefon : +43 0316/835651
Fischer von Erlachgasse 1
A-8010 Graz
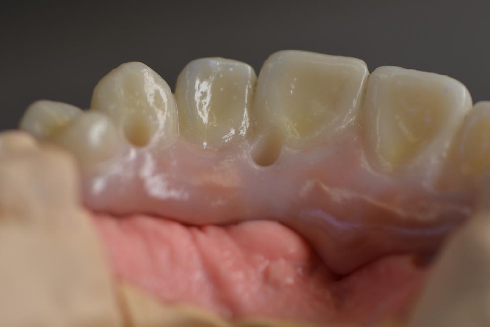
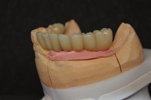
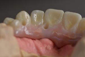
Durch die Zusammenarbeit mit der Firma ZirkonZahn und das selbsterlangte Wissen im Umgang mit Zirkon (seit 2004 in Besitz von Zirkonfräsanlagen) sind wir ein erfahrener Ansprechpartner für alle Vollkeramischen Lösungen, egal ob zementiert, verschraubt, Vollzirkon oder verblendet durch unsere 5 Achs Fräsanlage finden wir auch für die schwierigsten Situationen die beste Lösung für unsere Kunden.